Arthritides of the Foot

Summary

Arthritis 1st IP 2nd-5th IP 1st MTP 2-5 MTP Tarso
Metatarsal
Chopart
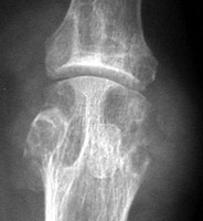
RA Rheumatoid Arthritis: Marginal erosions at 1st IP joint
++
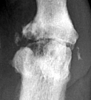
- Rheumatoid Arthritis: Erosions  and subluxation 1st MTP joint
+++
Rheumatoid Arthritis: Erosion 5th metatarsal head and base proximal phalanx
+++

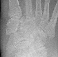
Rheumatoid Arthritis: Narrowing of Lisfranc and Chopart joint
++

Rheumatoid Arthritis: Narrowing of Lisfranc and Chopart joint
+
Psoriasis

Psoriasis: Erosions 1st IP joint
+++

Psoriasis: Erosions 5th PIP and DIP  joint
++
++ Psoriasis: Erosions 5th MT head
++
- -
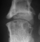
Reiter's Reiter 's Erosion 1st IP joint with periostitis
+++
Reiters: Fusion 3rd proximal interphalangeal joint
++
Reiter's: Erosion and productive changes 1st MTP joint.
++
Reiter's: Erosions 5th MTP joint
++
- -
AS - - + Ankylosing Spondylitis: erosions
+
+ +
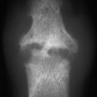
OA - - Osteoarthritis: Joint space narrowing and Osteophytes at 1st MTP joint
+++
- Osteoarthritis: Oblique view shows small osteophyte at 1st TMT joint
++
-
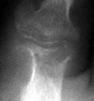
Gout Gout: Large erosion with overhanging edges 1st metatarsal
++
Gout: Erosion in both head of proximal phalanx and base middle phalanx 2nd toe with normal joint space
++
Gout: Erosions 1st MTP joint with preservation of joint space
+ ++
Gout: Large erosions 5th MTP joint
++
Gout: Erosions bases of metatardal bones
++
+
CPPD - - CPPD - note faint calcium deposition at 1st MT head
+
- - +
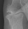
Silastic - - Silastic hemiarthroplasty with large erosions 1st metatarsal head.
+
- - -
Septic ++ Septic Arthritis 5th PIP joint
++
Septic Arthritis: Joint space narrowing and erosions
++
++ + +
Charcot + + + Charcot: 2nd MTP joint
++
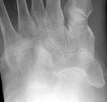
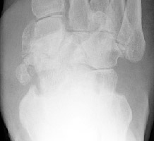
Charcot: AP - Dislocation tarsometatarsal joint
+++
Charcot: AP -
++
Introduction Psoriatic Arthritis Reiter's Disease Ankylosing Spondilitis Osteoarthritis Gout  
Calcium Pyrophosphate Deposition Disease Silastic Arthropathy Septic Arthritis Neuropathic Joint   Summary Reference