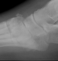
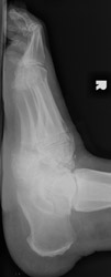
Charcot Joint: AP -Charcot Joint: Lateral - Disorganization of Chopart jointNEUROPATHIC JOINT DISEASE (CHARCOT JOINT) articular degeneration secondary to weight-bearing trauma and neurovascular changes on sensory deficient joint, resulting in bony resorption and formation.

Distribution:

Bilateral metatarsophalangeal joint involvement is common, especially among diabetics. The second tarso metatarsal joint is a frequent site for early subluxations. Mono- or polyarticular interphalangeal joint or midfoot presentations may also occur.

Erosion pattern:

Osteophytes, joint effusions, and soft tissue swelling are among the common early findings. Later in the disease process, acute fractures, dislocations, and subluxations may occur. Subluxations at the tarso metatarsal joints may mimic Lisfranc fracture/subluxations. Frequent fractures include subchondral fractures of the second metatarsal head, and avulsion fractures of the posterior calcaneal tubercle. Tapering osteolysis ("sucked candy" or "pencil-pointing"), bony fragmentation with well defined margins, and fusions with or without pseudoarthroses are other signs of progression.

Differential diagnosis:

Joint space narrowing and bony fragmentation may mimic early osteoarthritis. Osteophyte formation tends to be more aggressive than with osteoarthritis.

Arthritides of the Foot

Neuropathic Arthropathy

Introduction Distribution
Introduction
Psoriatic Arthritis
Reiter's Disease
Ankylosing Spondilitis
Osteoarthritis
Gout
Calcium Pyrophosphate Deposition Disease
Silastic Arthropathy
Septic Arthritis
Neuropathic Joint
Summary
Reference