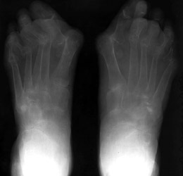
Rheumatoid
arthritis (RA) is a disease of the synovium. The hallmarks of rheumatoid
arthritis are symmetrical joint involvement, marginal erosions, uniform joint
space narrowing, juxta-articular osteoporosis, and soft tissue swelling. There
is a lack of hypertrophic changes. However, secondary osteoarthritis may lead
to productive changes.
1. Distribution:
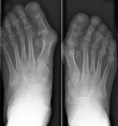
There is involvement of the appendicular skeleton with sparing of the
axial skeleton except cervical spine. Hands, feet, knees, hips, cervical spine,
shoulders, and elbows are involved in decreasing order of frequency. Rheumatoid
arthritis of the feet involves mainly MTPs, first IP, and tarsal joints.
2. Erosion pattern:
Early erosive changes are seen involving the "bare areas" of
metatarsal heads. In late stages of RA, subluxations may occur at the MTP
joints with the proximal phalanges subluxating in fibular direction and metatarsal
heads subluxating in plantar direction. Tarsal bones are involved as a unit
with uniform joint space loss. Bony ankylosis of tarsal bones may occur. In
addition, erosions of the calcaneus may occur at the attachment of the plantar
aponeurosis and/or attachment of Achilles tendon.
3. Differential diagnosis:
The absence
of bone proliferation and bony ankylosis, and the presence of osteoporosis are
common finding of rheumatoid arthritis and are useful in the differentiation
of rheumatoid arthritis from seronegative arthritis.
| Joint | Frequency |
|
| 1st interphalangeal | ++ |
![]() |
| 2nd - 5th interphalangeal | - | |
| 1st Metatarsophalangeal | +++ |
![]() |
| 2nd-5th Metatarsophalangeal | +++ |
![]() |
| Tarsometatarsal | ++ |
|
| Chopart | + |
|
| Arthritides of the Foot |
Rheumatoid Arthritis |
||||||||||||||
![]() |
|||||||||||||||
![]() |
|||||||||||||||
![]() |
|||||||||||||||