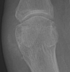
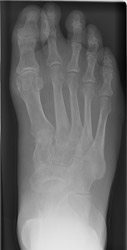
CPPD: AP - Faint calcifications at 1st MT headCPPD: AP - Faint calcifications at 1st MT head CPPD DISEASE (PSEUDOGOUT) calcium pyrophosphate dihydrate deposition within cartilage and peri-articular structures.

1. Distribution:
First metatarsophalangeal joint involvement is most common in forefoot. The talonavicular joint space is commonly affected with hind foot involvement. The distribution pattern for CPPD is usually bilateral, and may be symmetric or asymmetric.

2. Erosion pattern:
Variable, inconsistent osteophyte formation can occur with this disease. Numerous, large subchondral cysts may progress to micro fractures, collapse, and formation of intra-articular bodies. Calcific tendonitis (especially of the Achilles tendon and plantar aponeourosis), or metatarsophalangeal joint capsular or synovial calcifications may be present. Associated calcifications of the bursa, ligaments, and fibrocartilaginous structures of the foot are less common.

3. Differential diagnosis:
Joint destruction and cyst formation may resemble osteoarthritic findings. Talonavicular joint fragmentation may mimic neuropathic arthritis. Synovial calcifications and soft tissue swelling may be confused with gout. Tendinis calcifications may mimic calcific tendonitis secondary to calcium hydroxyapatite crystal deposition disease, and these conditions are commonly co-existent.

 

Arthritides of the Foot

Calcium Pyrohosphate Deposition Disease

Introduction Distribution
Introduction
Psoriatic Arthritis
Reiter's Disease
Ankylosing Spondilitis
Osteoarthritis
Gout
Calcium Pyrophosphate Deposition Disease
Silastic Arthropathy
Septic Arthritis
Neuropathic Joint
Summary
Reference