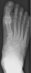
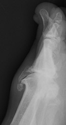
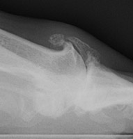
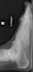
Osteoarthritis: Lateral View - Large dorsal osteophytes at 1st MTP jointOsteoarthritis: AP View - Large osteophytes and joint space narrowing at 1st MTP jointOSTEOARTHRITIS non-inflammatory deterioration of articular cartilage with articular surface and marginal bone formation.

1. Distribution
The first metatarsal phalangeal and first tarsometatarsal joints are most commonly affected with osteoarthritis of the foot. The dorsal talonavicular joint is also commonly involved. The remaining metatarsal phalangeal and interphalangeal joints are affected to a lesser degree. Plantar or posterior calcaneal spurring may also occur. The disease distribution may be uni- or bilateral.

2. Erosion pattern
Radiographic manifestations may include marginal osteophyte and subchondral bony cyst formation, eburnation, and interosseous joint space narrowing. First metatarsal phalangeal joint osteoarthritis is frequently associated with hallux valgus deformities. Calcaneal spurs, when manifested, are sharp and well defined.

3. Differential diagnosis
Joint space narrowing and sclerosis at the tarsometatarsal joint, or metatarsal phalangeal thickening and subchondral cyst formation may be confused with gout. Inflammatory disease may also be present for a subset of patients.

Arthritides of the Foot

Osteoarthtitis

Introduction Distribution
Introduction
Psoriatic Arthritis
Reiter's Disease
Ankylosing Spondilitis
Osteoarthritis
Gout
Calcium Pyrophosphate Deposition Disease
Silastic Arthropathy
Septic Arthritis
Neuropathic Joint
Summary
Reference