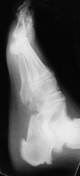
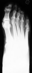
Ankylosing Spondylitis: Erosions of 5th MT headAnkylosing Spondylitis: Lateral- Broad base calcaneal spur and erosion of the calcaneusAnkylosing spondylitis (AS) is a HLA-B27 spondyloarthropathies which is characterized by bony ankylosis and syndesmophyte formation.

Distribution:
It primarily affects the axial skeleton and secondarily the appendicular skeleton to involve proximal large joints in a bilateral symmetrical distribution. The arthropathy begins in the SI joints and then progresses to the lumbar spine and ascends to involve the thoracic and cervical spine. Afterwards, arthritis progresses to involve the hips, shoulders, knees, hands, and feet in decreasing order of frequency. In early stages, bilateral symmetric erosions involving the SI joints are present which is followed by sclerosis which eventually results in bilateral ankylosis. The feet are affected in about 10% of patients in later stages of the disease. The IPs and MTPs are affected.

Erosion pattern:
Erosions are usually superficial, with productive response. Intra-articular ankylosis occurs in a short period of time.

3. Differential diagnosis:
The presence of bone proliferation and bony ankylosis, and the lack of osteoporosis are common finding of all seronegative arthritis and are useful in the differentiation of ankylosing spondylitis from rheumatoid arthritis. The distinction among seronegative arthritis is based on the distribution, ankylosing spondylitis
has a predilection for the axial skeleton with rare involvement of the small joints of the appendicular skeleton.

 

Arthritides of the Foot

Ankylosing Spondylitis

Introduction Distribution
Introduction
Psoriatic Arthritis
Reiter's Disease
Ankylosing Spondilitis
Osteoarthritis
Gout
Calcium Pyrophosphate Deposition Disease
Silastic Arthropathy
Septic Arthritis
Neuropathic Joint
Summary
Reference