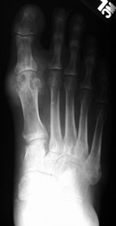
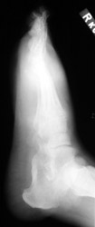
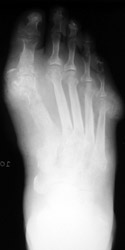
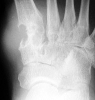
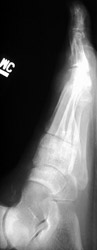
Gout: AP- Erosions 1st MTP joint with tophiGout: AP- Erosions 1st MTP joint with tophiTophaceus Gout: LateralTophaceus Gout: APGOUT is caused by monosodium urate or uric acid crystal deposition within cartilage, bone, or periarticular tissues.

1. Distribution
First metatarsophalangeal joint is most commonly affected, followed by the first interphalangeal joint and tarsometatarsal joints. Posterior calcaneal involvement has also been noted. The majority of first presentations are monoarticular. Bilateral and symmetric or asymmetric polyarticular involvement may be present within any of the foot joints.

2. Erosion pattern:
Acute, episodic soft tissue swelling may represent the earliest radiographic sign. Later, sharp, round or oval marginal joint erosions with sclerotic borders are classically seen with gout. These findings most commonly occur along the dorsum of the foot. Associated soft tissue tophi or intraosseous nodules may be present. "Overhanging margin" occur where the bone resorbs beneath a tophaceous nodule. Joint spaces are usually preserved, but ankylosis may rarely occur with advanced stages of gout. The aforementioned findings may be in different stages of progression with any given patient.

3. Differential diagnosis:
Concomitant osteoarthritis (especially of the tarsometatarsal joint) is common and should not be confused with gout. Joint space narrowing, as seen with advanced gout, may mimic rheumatoid arthritis.

 

Arthritides of the Foot

Gout

Introduction Distribution
Introduction
Psoriatic Arthritis
Reiter's Disease
Ankylosing Spondilitis
Osteoarthritis
Gout
Calcium Pyrophosphate Deposition Disease
Silastic Arthropathy
Septic Arthritis
Neuropathic Joint
Summary
Reference