SEPTIC
JOINT infection of the joint space.
1. Distribution:
The joint contamination may be monarticular or polyarticular. Weight bearing
joints are commonly involved.
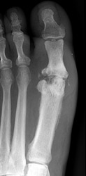
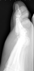
2. Erosion pattern: Soft tissue swelling and joint effusion may comprise early findings. As the infection progresses, poorly defined bony destruction with indistinct superficial marginal erosions may be evident along the articular surfaces. This may be accompanied by joint space narrowing, secondary to chondral destruction. Joint space ankylosis may occasionally occur in advanced cases.
3. Differential diagnosis:
Advanced chondral destruction, secondary to joint sepsis, may mimic
neuropathic joint destruction.
| Joint | Frequency |
|
| 1st interphalangeal | +++ |
|
| 2nd - 5th interphalangeal | + | |
| 1st Metatarsophalangeal | +++ | |
| 2nd-5th Metatarsophalangeal | ++ |
|
| Tarsometatarsal | - |
|
| Chopart | - |
|
| Arthritides of the Foot |
Septic Arthritis |
||||||||||||||
![]() |
|||||||||||||||
![]() |
|||||||||||||||
![]() |
|||||||||||||||