Revision
Home Up Materials Radiography Arthrography CT and MRI References

 

Home
Materials
Fixation
Prosthesis Types
 Total Hip 
 Hemi
 Revision 
Radiography
Baseline Exam
 Alignment
 -Acetab. Position
 -Inclination
 -Anteversion
 -Center of Rotation
 -Femoral Stem 
 -Leg Length Discr.
 Intra-op- Fractures 
 Cement Herniation
Follow-up Study
 Bony Abnormalities
 Fracture
 Heterotopic Bone
 Non Union
 Hardware Failure
 -Polyethylene Wear
 -Dislocation
 Osteolysis
 Loosening
 Infection
Arthrography
CT and MRI
References

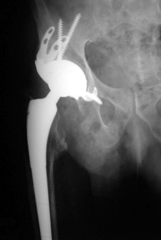
Revision Arthroplasty

  • Larger components to fill larger bone defects secondary to loosening, osteolysis, and/or infection
  • Higher incidence of fracture
  • Ddx control osteotomy may have been surgically placed to aid in removal of former prosthesis

Control perforation lateral femoral cortex, reduced by cerclage cable


s

 

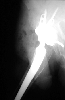
Long stem revised femoral component with periprosthetic fracture


Insufficiency fracture lateral tibial plateau in patient with long revised left femoral stem


A B

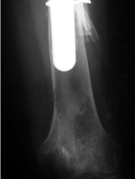
Revision arthroplasty (A). Proximal femur resected due to large amount of osteolysis (B).


Revision arthroplasty with long femoral stem and large phalanged cup. Note inguinal hernia containing bowel.


 

Google
 
Web Gentili.net