Non Union Greater Troch
Home Up Materials Radiography Arthrography CT and MRI References

 

Home
Materials
Fixation
Prosthesis Types
 Total Hip 
 Hemi
 Revision 
Radiography
Baseline Exam
 Alignment
 -Acetab. Position
 -Inclination
 -Anteversion
 -Center of Rotation
 -Femoral Stem 
 -Leg Length Discr.
 Intra-op- Fractures 
 Cement Herniation
Follow-up Study
 Bony Abnormalities
 Fracture
 Heterotopic Bone
 Non Union
 Hardware Failure
 -Polyethylene Wear
 -Dislocation
 Osteolysis
 Loosening
 Infection
Arthrography
CT and MRI
References

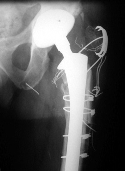
Nonunion Greater Trochanteric Osteotomy

Occurs in 5% of total hip arthroplasties using a transtrochanteric approach (Amstutz)

Broken wires with a united greater trochanter are associated with bursitis


Non union of greater trochanteric osteotomy with broken and frayed cerclage cable.


Non union of greater trochanteric osteotomy with broken and frayed cerclage cable. Note broken piece of cerclage cable has migrated toward ischial tuberosity.


 

Google
 
Web Gentili.net