Fracture
Home Up Materials Radiography Arthrography CT and MRI References

 

Home
Materials
Fixation
Prosthesis Types
 Total Hip 
 Hemi
 Revision 
Radiography
Baseline Exam
 Alignment
 -Acetab. Position
 -Inclination
 -Anteversion
 -Center of Rotation
 -Femoral Stem 
 -Leg Length Discr.
 Intra-op- Fractures 
 Cement Herniation
Follow-up Study
 Bony Abnormalities
 Fracture
 Heterotopic Bone
 Non Union
 Hardware Failure
 -Polyethylene Wear
 -Dislocation
 Osteolysis
 Loosening
 Infection
Arthrography
CT and MRI
References

Fractures

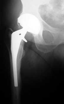
Most frequently occur near distal stem of femoral component

Osteopenia due to long periods of inactivity secondary to pain and disability predispose to insufficiency fractures after surgery when patients are ambulating more frequently.

FRACTURE—periprosthetic, in traction


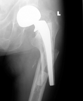
Fracture distal to femoral stem


Refracture of bone and of sideplate


Fracture distal to femoral stem



Stress riser distal to prosthetic


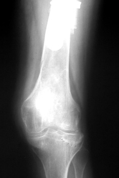
Insufficiency fracture lateral tibial plateau in patient with long revised left femoral stem


FRACTURES
STRESS OR INSUFFICIENCY
Left pubic bone



STRESS OR INSUFFICIENCY
Left inferior pubic ramus


STRESS REACTION

Stress reaction secondary to altered biomechanics. Cortical thickening is present medial to the femoral component tip.

 

Google
 
Web Gentili.net