|
|
|
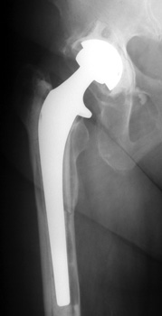
LooseningAs pain and disability due to loosening become severe enough to require revision arthroplasty, abnormalities in the binding of the cement to the bone or prosthesis are almost always visible radiographically. Radiographic abnormalities include:
Absence of these findings requires consideration of other sources for painful arthroplasty. INTERFACE WIDENING
INTERFACE WIDENING
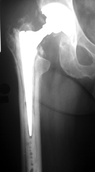
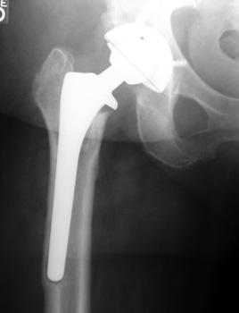
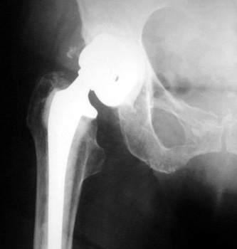
LOOSENING WITH FEMORAL COMPONENT IN VARUS LOOSENING
| ||||||||||||||||||||||
|
|
|
|
9/91 |
10/94 |
11/95 |
|
Progressive interface widening |
||
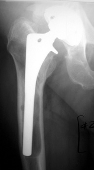
LOOSENING

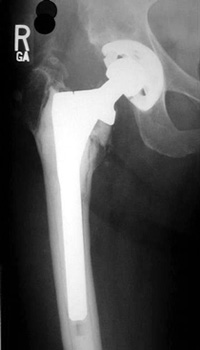
No prior studies available. Abnormally widened interfaces surrounding entire cement mantle of femoral component, consistent with loosening.
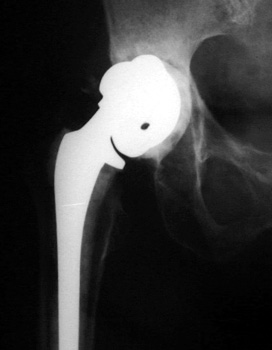
LOOSENING

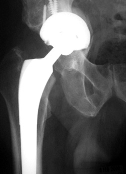
No prior studies available. Abnormally widened interfaces about femoral component at Gruen zones 1, 6, and 7. Osteolysis at Gruen zone 5 with marked thinning of femoral cortex placing patient at risk for pathologic fracture.
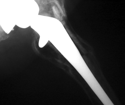
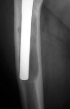
Cement fracture Gruen zone 6 close up next slide
CEMENT FRAGMENTATION
May occur with shift of femoral component.
Transverse fractures of cement near distal femoral stem seen in up to 1.5% of THR, associated with mild subsidence. If less than 4mm, usually not associated with failure. (Weber and Charnley)

CEMENT FRACTURE


ENDOSTEAL SCALLOPING

BEAD SHEDDING

BEAD SHEDDING
LOOSENING
COMPONENT MIGRATION
![]() |
|
|
10/01 |
11/01 |
COMPONENT MIGRATION
ACETABULAR CUP
ACETABULAR COMPONENT
Progressive protrusio and tilt
|
|
|
|
2/00 |
1/01 |
ACETABULAR COMPONENT
Migrating acetabular cup

Very abnormal positioned cup. No comparison radiographs were available. Current radiographs demonstrates markedly tilted cup which has migrated laterally from pelvis.
![]() |
![]() |
|
12/93 |
8/98 |
MIGRATION
FEMORAL COMPONENT
SUBSIDENCE
Cup sinks into pelvis and migrates proximally

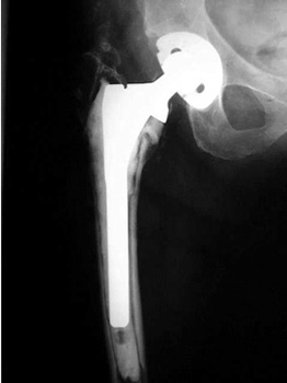
ACETABULAR COMPONENT
Severe protrusio in patient with RA


SUBSIDENCE - loose femoral prosthesis with interface widening,
osteolysis Gruen zone 6, cement fracture left femoral component
and osteolysis, with femoral component in valgus.
|
|