CT and MRI
Home Materials Radiography Arthrography CT and MRI References

 

Home
Materials
Fixation
Prosthesis Types
 Total Hip 
 Hemi
 Revision 
Radiography
Baseline Exam
 Alignment
 -Acetab. Position
 -Inclination
 -Anteversion
 -Center of Rotation
 -Femoral Stem 
 -Leg Length Discr.
 Intra-op- Fractures 
 Cement Herniation
Follow-up Study
 Bony Abnormalities
 Fracture
 Heterotopic Bone
 Non Union
 Hardware Failure
 -Polyethylene Wear
 -Dislocation
 Osteolysis
 Loosening
 Infection
Arthrography
CT and MRI
References

CT and MRI

Previously, CT and MRI were rarely used for patients with arthroplasties due to metallic artifact.

Multislice CT has markedly decreased this artifact, and can visualize bone immediately adjacent to hardware. It can be used to evaluate alignment abnormalities, bone graft, heterotopic ossification, osteolysis, and adjacent soft tissue structures. Reformatted images in various planes can be generated with minimal artifact as well.

MRI can also be used in patients with hardware by applying sequences that minimize metallic artifact. These sequences include T1 and STIR, employing long echo train lengths. Gradient echo and fat saturation techniques are avoided when hardware is present.


ACETABULAR COMPONENT
CT Measurements

Acetabular component lateral inclination

  • Transischial line obtained on pilot image
  • Line drawn through cup


ACETABULAR COMPONENT
CT Measurements

Cup Anteversion

  • Transischial line obtained on axial image through ischial tuberosities (A)
  • Transischial line transposed to an axial image of the cup (B)
  • A second line is drawn through the anterior and posterior lips of the cup
  • Anteversion angle is formed intersection of transischial line and line through cup

 

A

B

Cup in neutral position


Anteverted cup


Femoral version measure by CT. Axial images are obtained through the hips and femoral condyles. A reference line is drawn through the posterior aspect of the medial and femoral condyles (Fig A). A second line in drawn through the axis of the neck of the femoral prosthesis. These lines are superimposed, and the femoral version angle is measured. (Fig B)


Hernia


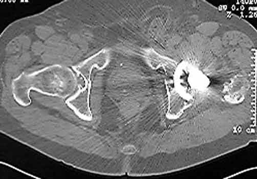
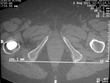
Dislocated femoral component and acetabular cup in grossly loose arthroplasty.  CT guided aspiration to rule out infection.

OSTEOLYSIS
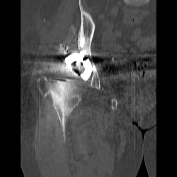
CT guided biopsy


HETEROTOPIC BONE FORMATION plain film and CT


 

CT—Bone graft placed for patient with congenital hip dysplasia and poorly developed acetabulum (Shelf procedure). Persistent cleft between graft and native bone is present years after surgery, consistent failure of graft incorporation


A

B

C

 

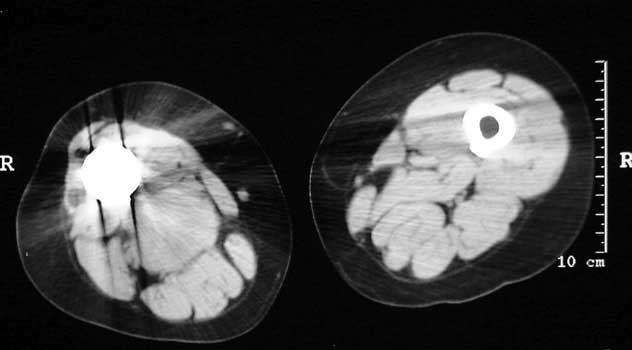
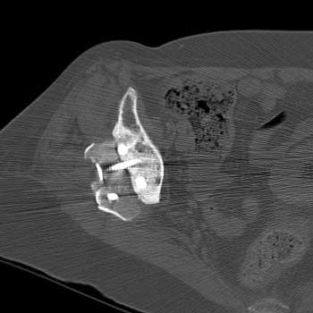
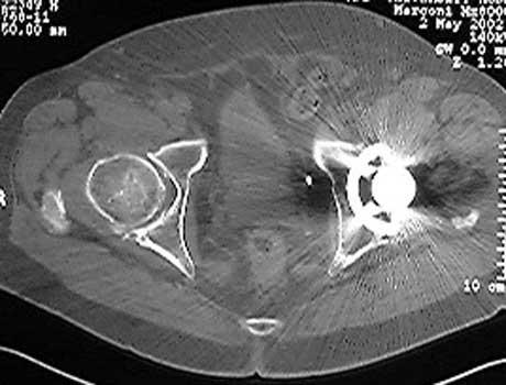
Mass in patient with modular endoprosthesis placed after resection of femur for osteosarcoma. Axial (fig A) and coronal reformatted images (fig B) clearly demonstrate mass adjacent to modular endoprosthesis. 14 gauge core needle biopsy performed under CT guidance (fig C) demonstrated recurrent osteosarcoma

 

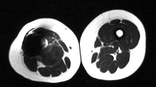
Recurrent osteosarcoma in patient status post resection of femur and placement of modular endoprosthesis. Axial T1 and STIR sequences clearly demonstrate mass adjacent to endoprosthesis.


 

Google
 
Web Gentili.net