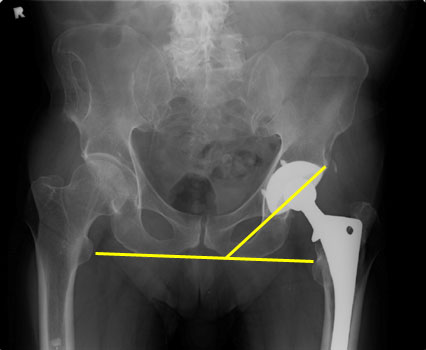
Inclination
Home Up Materials Radiography Arthrography CT and MRI References

 

Home
Materials
Fixation
Prosthesis Types
 Total Hip 
 Hemi
 Revision 
Radiography
Baseline Exam
 Alignment
 -Acetab. Position
 -Inclination
 -Anteversion
 -Center of Rotation
 -Femoral Stem 
 -Leg Length Discr.
 Intra-op- Fractures 
 Cement Herniation
Follow-up Study
 Bony Abnormalities
 Fracture
 Heterotopic Bone
 Non Union
 Hardware Failure
 -Polyethylene Wear
 -Dislocation
 Osteolysis
 Loosening
 Infection
Arthrography
CT and MRI
References

AKA Horizontal version, acetabular angle of abduction, theta angle.

  • Normal 40 +/- 10 degrees
  • Shallow angles result in limited abduction of hip, with subsequent difficulty with perineal care and intercourse
  • Steep angles increase risk of dislocation
 

Google
 
Web Gentili.net