Endplate Fracture
Home Up Introduction References Index

 

Up
Wound Infection
Seroma and Epidural Scar
Epidural Hematoma - CT
Epidural Hematoma - MRI
Instability
Graft Reabsorption
Endplate Fracture
Graft Collapse
Nonunion
Displaced Strut Graft
Broken Screw
Screw in Spinal Canal
Slipped rod
Screw in Disc space
Screw Loosening & Hematoma
Screw Backing Out
Screw Loosening

Endplate Fracture

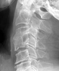
76 y.o male with symptoms of myelopathy, underwent C3,4 ACDF. 1 month later the patient had complaints of severe dysphagia, feelings of  'food and liquid getting caught'.

 

Latera C-spine - Click on the image to enlarge This radiograph take 1 month later demonstrates anterior extrusion of bone graft material at C3-4 and an endplate fracture at C4.
Latera C-spine - Click on the image to enlarge Conservative management utilizing a rigid cervical collar was prescribed for 6 months. 5 months later bony healing has occurred with incorporation of the graft.

 

Click on the images to view a larger version!

 


Google
 
Web Gentili.net

©Gentili.net 1998-2006