Slipped rod
Home Up Introduction References Index

 

Up
Wound Infection
Seroma and Epidural Scar
Epidural Hematoma - CT
Epidural Hematoma - MRI
Instability
Graft Reabsorption
Endplate Fracture
Graft Collapse
Nonunion
Displaced Strut Graft
Broken Screw
Screw in Spinal Canal
Slipped rod
Screw in Disc space
Screw Loosening & Hematoma
Screw Backing Out
Screw Loosening

Slipped rod

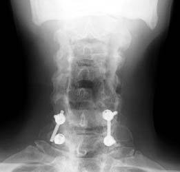
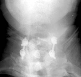
65 y.o male with prior surgery 23 years ago, secondary to trauma involving C4-5, C5-6 ACDF procedures. Now is 1 yr s/p bilateral C5 and C6 foraminotomy and C6-C7 posterior fusion and right iliac crest bone graft for persistent numbness and tingling for 2 years.

Radiographs obtained 5 months post-operatively demonstrate normal C6-7 fusion without evidence of hardware failure.
3 months later, follow-up films show the posterior fixation at C6-7. Now noted that the screw at C7 has slipped off the support rod on the right.
Click on the images to view a larger version!

 


Google
 
Web Gentili.net

©Gentili.net 1998-2006