|
Up
| |
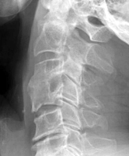
Endplate Fracture
 |
This radiograph take 1 month later demonstrates anterior
extrusion of bone graft material at C3-4 and an endplate fracture at C4. |
 |
Conservative management utilizing a rigid cervical collar was prescribed for 6
months. 5 months later bony healing has
occurred with incorporation of the graft. |
|