Instability
Home Up Introduction References Index

 

Up
Wound Infection
Seroma and Epidural Scar
Epidural Hematoma - CT
Epidural Hematoma - MRI
Instability
Graft Reabsorption
Endplate Fracture
Graft Collapse
Nonunion
Displaced Strut Graft
Broken Screw
Screw in Spinal Canal
Slipped rod
Screw in Disc space
Screw Loosening & Hematoma
Screw Backing Out
Screw Loosening

Instability

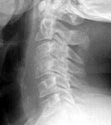
48 y.o. male with a history of alcohol abuse, depression and degenerative joint disease who is complaining of severe pain in his right neck and shoulder radiating down to his right third and fourth digit. The patient underwent anterior cervical disc fusion. Four months after the initial surgery, the patient still had pain but this time numbness was on flexion mainly and localized to the C5 region.

Lateral flexion and extension radiographs taken 6 months after surgery demonstrate incomplete graft incorporation (delayed healing). Furthermore, with flexion there is anterolisthesis of C4 on C5 (one level below the fusion) by 2-3 mm.
Click on the images to view a larger version!
Dohler JR, Kahn MR, Hughes SP. Instability of the cervical spine after anterior interbody fusion. A study on its incidence and clinical significance in 21 patients. Arch Orthop Trauma Surg. 1985;104(4):247-50. Related Articles


Google
 
Web Gentili.net

©Gentili.net 1998-2006