|
Up Wound Infection Seroma and Epidural Scar Epidural Hematoma - CT Epidural Hematoma - MRI Instability Graft Reabsorption Endplate Fracture Graft Collapse Nonunion Displaced Strut Graft Broken Screw Screw in Spinal Canal Slipped rod Screw in Disc space Screw Loosening & Hematoma Screw Backing Out Screw Loosening
| |
Seroma and Epidural Scar
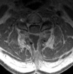
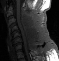
46 y.o. male, initial complaint of progressed with myelopathy,
difficulty walking, and imbalance. Underwent laminectomy C3 to C7, 2 months
prior to these images. Worsening numbness and weakness brought patient to seek
neurosurgical consultation again, prompting repeat imaging.
A |
B |
C |
D |
|
Click on the images to view a larger version!
|
| Sagittal T1 pre (A) and post contrast
(B), sagittal T2 (C) and Axial T1 post contrast (D) MRI images
of the cervical spine demonstrating a large posterior fluid collection with an
obvious sinus tract inferiorly and associated gas bubbles. This was proved to be
a post-operative seroma and epidural scar (note the thick rind of enhancement)
that was partially accounting for this patient's residual and worsening symptoms
despite the initial decompressive surgery. |
|
|
|