Up
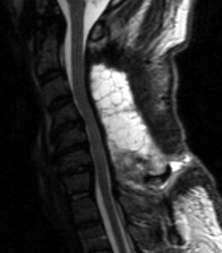
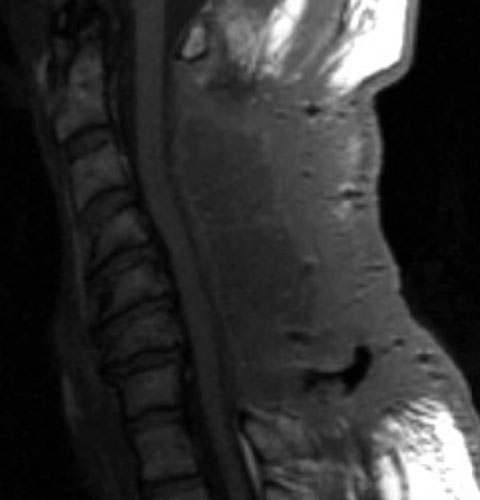
Seroma and Epidural Scar
A
B
C
D
Web
Gentili.net
©
Gentili.net
1998-2006