


The transmetatarsal amputation is more disabling than simple toe amputations, but as in
the toe amputations there is no need for a prosthesis other than a shoe filler. The
loss of push-off in the absence of a positive fulcrum in the ball of the foot is chiefly
responsible for impairment of gait. The more proximal the amputation, the more
disability is present.
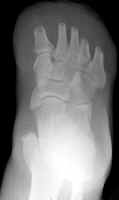
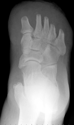
The images above demonstrate a transmetatarsal amputation through all five digits.
The bone edges are beveled and there is a generous soft tissue pad.

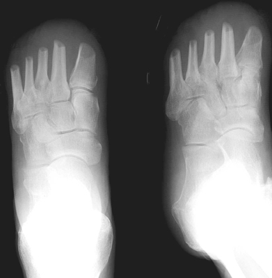
Another transmetatarsal amputation.