
The knee disarticulation
results in an excellent weight-bearing stump. It is most often used in children and
young adults, but is nearly always avoided in the elderly and patient with ischemic
disease. Several advantages of the knee disarticulation include: 1) a
large end surface covered by skin and soft tissues that is naturally suited for weight
bearing; 2) a long lever arm controlled by strong muscles; 3)
increased stability of the patients prosthesis. A main disadvantage of the knee
disarticulation is cosmetic. The patient's prosthetic leg will have a knee that
extends far beyond his own knee in the sitting position. This tends to leave the
portion of the prosthesis below the knee dangling off the floor when the patient sits.
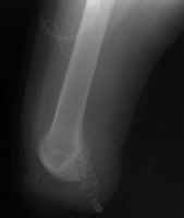
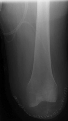
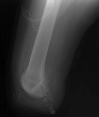
The image shown demonstrates an immediate post-operative knee disarticulation.