
In
addition to the common indications for any amputation (e.g., infection, arteriosclerosis
with gangrene, etc.), specific indications for toe amputations exist as well. For
example, the fifth toe (the most commonly amputated toe) is usually removed for being
overriding on the fourth toe. This toe can be amputated with impunity and this is
usually preferred over reconstructive procedures because it is easy and definitive.
Complications of toe amputations with regards to gait are minimal. For example, any
single toe can be removed with little gait or stance disturbance. This is true for
amputation of the great toe during standing or walking at a normal pace. However, if the
patient walks rapidly a limp appears from the loss of the normal push-off provided by the
great toe. With amputations of all toes, the patients gait is likewise normal with
slow, but impaired with rapid locomotion. Additional complications specific to the
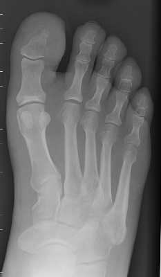
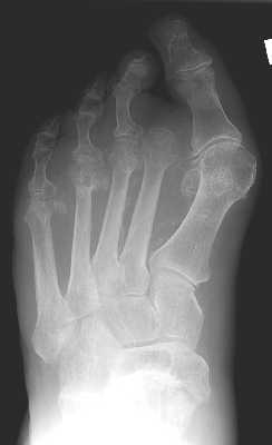
toes include a severe hallux valgus deformity seen in amputations of the second (see
below).
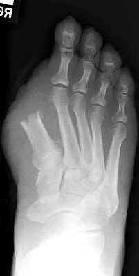
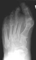
The above images show both the pre-operative and post-operative left foot of the same
patient. The pre-op film demonstrate osteomyelitis of the distal first phalanx that
was treated with a great toe amputation.
Second toe amputation with resultant hallux valgus
deformity. This is a common complication of second toe amputations and occurs
because the great toe tends to drift toward the third to fill the gap left by the
amputation.