
The ideal level for
amputation in the BKA patient is approximately at the junction of the proximal/middle
thirds of the calf to the mid-calf. The distal third is not acceptable due the the
relative avascularity and lack of sufficient soft tissue padding at this level. The
ideal BKA stump in adults is 12.5 to 17.5cm. Imaging techniques (e.g. ultrasound,
angiography, aai, etc) are again useful in helping the clinician decide the exact level of
amputation (especially when performed for ischemic disease). For example, in the
patient without significant vasculopathy, the operation will be performed with a pneumatic
tourniquet. Furthermore, both anterior as well as posterior musculocutaneous flaps
of equal length will be formed and sutured together creating a surgical scar at the tip of
the stump. This is in contrast to the ischemic patient in which a tourniquet is not
applied and in whom the relative increased vascularity of the posterior musculature is
used to advantage. In this case, a long posterior flap is created and wrapped over
the distal bone to be sutured just above the site of osteotomy anteriorly (the Burgess
technique).
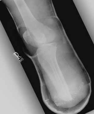
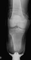
The images shown demonstrates a BKA of acceptable length. The patient is
wearing a prosthesis.


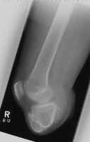
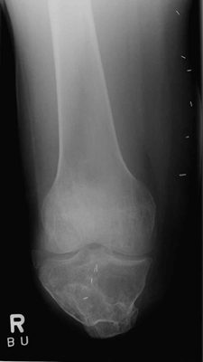
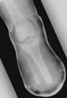
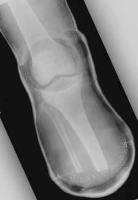
These images demonstrate a BKA that is too short to allow for use of a prosthesis.

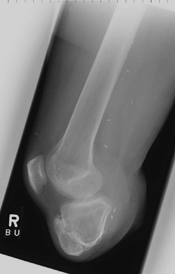
Immediate post-operative films of a good BKA. Stump-shrinking cast and skin staples
are present.