Like the Lisfranc amputation, the Chopart amputation is a forefoot/midfoot
level procedure and suffers from the same gait disturbances during walking. In
addition, the Chopart is also prone to form an equinus deformity (but much more severe
than in the case of a Lisfranc amputation). In response to this, additional
operative procedures have been devised (Roach and McForlane) in order to prevent the early
equinus deformity from becoming fixed. Heel cord tenotomies are able to prevent this
problem, resulting in only 1 of 44 patients who go on to fixed equinus deformity according
to one of Roach's studies. This is a significant improvement over what was the case
prior to such procedures, and may be responsible, in part, for a modest resurgence in the
Lisfranc and Chopart amputations.


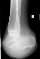
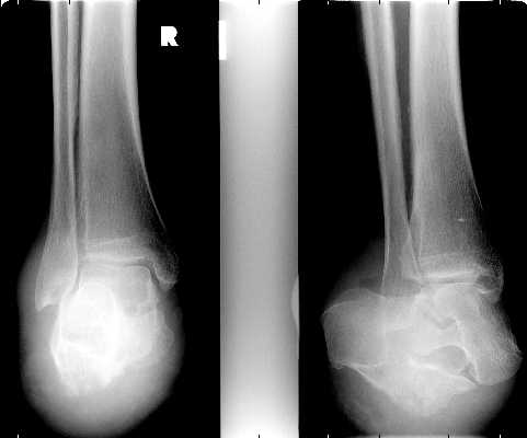
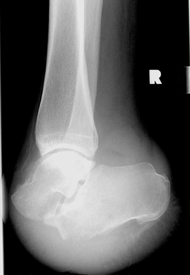
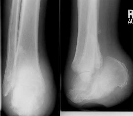
These images show an amputation through the calcaneal-cuboid and talo-navicular joints
(Chopart level).

Selected images of different patients showing the Chopart amputation.