|
| |
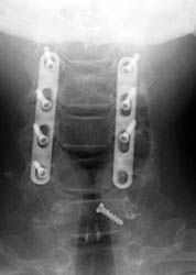
Screw Displacement
50-year-old male who presented with worsening gait, neck pain, upper
extremity pain, numbness, and occasional bowel and bladder incontinence. The
patient complained of increasing difficulty walking, neck stiffness, and leg
cramps, increasing upper extremity numbness, and dysthesia in hands and
forearms. The patient underwent C3-6 laminectomies with postero-lateral fusions.
  |
AP and lateral radiographs taken 5 days after surgery demonstrate
typical laminectomy defects at C3-6. The posterolateral fusions appear intact
with bone grafting material faintly appreciated. The screws and plates are
intact and in appropriate positioning. |
  |
AP and lateral radiographs taken 5 days later, while still in the
hospital. Note migration of left C6 screw. It has loosened and fallen out. This
screw was not causing symptoms and decision was made to conservatively manage
the patient and keep in rigid cervical collar until the bone graft matured in
2-3 months.
Click on the images to view a larger version!
|
|