|
| |
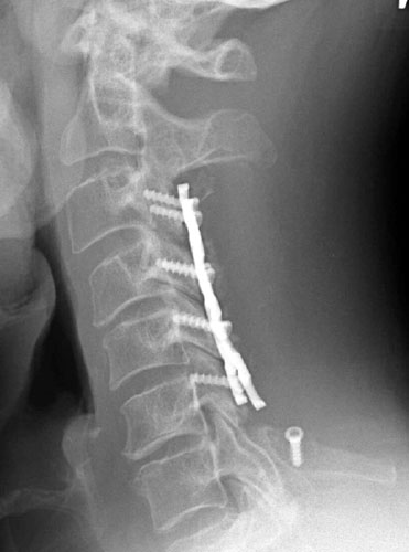
Screw Displacement
  |
AP and lateral radiographs taken 5 days after surgery demonstrate
typical laminectomy defects at C3-6. The posterolateral fusions appear intact
with bone grafting material faintly appreciated. The screws and plates are
intact and in appropriate positioning. |
  |
AP and lateral radiographs taken 5 days later, while still in the
hospital. Note migration of left C6 screw. It has loosened and fallen out. This
screw was not causing symptoms and decision was made to conservatively manage
the patient and keep in rigid cervical collar until the bone graft matured in
2-3 months. |
|