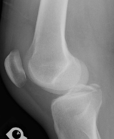
Return to Tibial Spine Fracture