Tibial Spine Fracture

Return to Main Menu

Damage to the anterior cruciate ligament may be associated with avulsion of the lateral tibial spine or the anterior intercondylar eminence. These fractures can be subtle with conventional radiography. If there is suspicion for ligamentous injury, MRI should be performed.
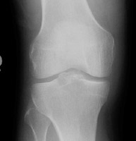
 - Click on the image for a larger versionAAP radiograph of the knee. There is a fracture at the lateral tubercle of the tibial spine.
 - Click on the image for a larger versionBAP radiograph with slightly different obliquity. This shows irregularity at the region of the tibial spine.
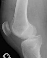
 - Click on the image for a larger versionCLateral radiograph of the knee. This confirms the fracture at the location of the tibial spine.
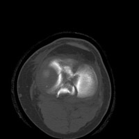
 - Click on the image for a larger versionDAxial CT. This image from a different patient at the level of the tibial plateau demonstrates a fracture of the tibial spine.

Links to online textbooks

References:


Google
 
Web Gentili.net

©Gentili.net 1998-2006