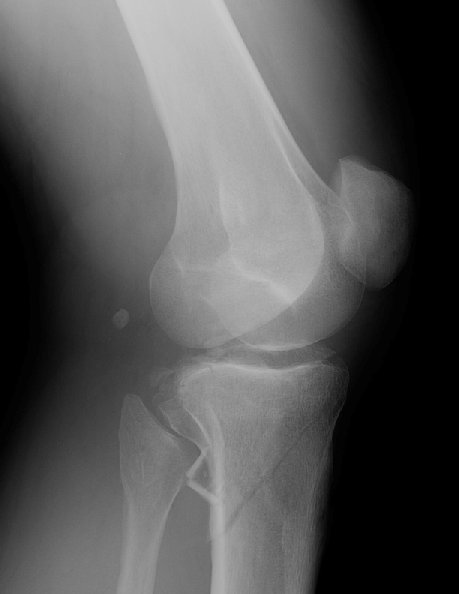
Return to Tibial Plateau Fracture