Tibial Plateau Fracture

Return to Main Menu

Tibial plateau fractures were originally termed fender or bumper fractures due to their association with automobile impacts to the knee. However, the majority of these fractures are not caused by automobile impacts. Axial load injuries can also cause tibial plateau fractures. Lateral plateau fracture is the most common (75 %) as trauma results from valgus force, The Schatzker classification is used to describe these fractures. There are depression, split, split depression, and condylar subtypes.
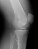
 - Click on the image for a larger versionACross table lateral radiograph. This demonstrates a comminuted fracture of the tibial plateau and a fat-blood interface in the suprapatellar bursa, known as a lipohemarthrosis.
 - Click on the image for a larger versionBOblique radiograph of the knee. The fracture of the tibia is visualized.
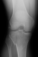
 - Click on the image for a larger versionCAP radiograph of the knee. The fractures of the medial and lateral aspects of the tibial plateau are now easily visible.
 - Click on the image for a larger versionDAxial CT. This image through the tibial plateau demonstrates the extensive nature of the fracture involving both sides of the tibial plateau.

Links to online textbooks

References:


Google
 
Web Gentili.net

©Gentili.net 1998-2006