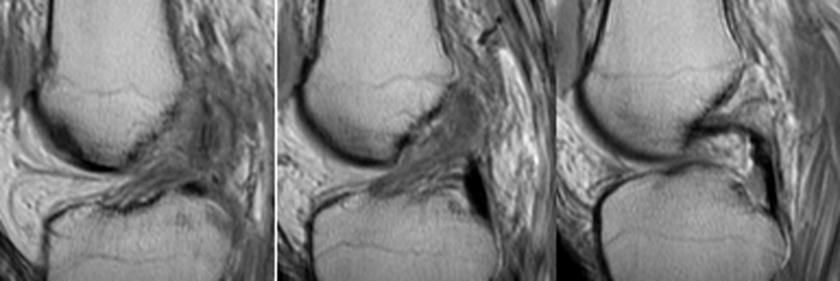
Return to Segond Fracture