Segond Fracture

Return to Main Menu

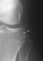
This eponym refers to a an avulsion fracture of the lateral tibial plateau at the site of attachment of the lateral capsular ligament. It is frequently associated with tears of the anterior cruciate ligament (70 % predictive) or menisci.
 - Click on the image for a larger versionAAP radiograph of the knee. This shows an avulsion of the lateral tibial plateau.
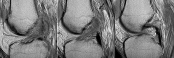
 - Click on the image for a larger versionBSagittal MRI. This sequence of images of the knee shows disruption of the ACL.

Links to online textbooks

References:


Google
 
Web Gentili.net

©Gentili.net 1998-2006