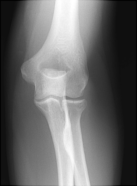
Return to Radial Head Fracture