Radial Head Fracture

Return to Main Menu

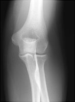
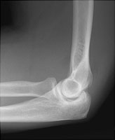
Radial head fractures are common and result from a fall on an outstretched hand. These fractures can be subtle and indirect signs are used to infer their presence. A visible posterior fat pat is the most sensitive indicator of an occult fracture. The "sail sign" or displaced anterior fat pad is also used to diagnose occult radial head fractures, but is less sensitive than displacement of the posterior fat pad.
 - Click on the image for a larger versionALateral radiograph of the elbow. There is displacement of both the anterior and posterior fat pads.
 - Click on the image for a larger versionBAP radiograph of the elbow. This demonstrates the subtle fracture of the radial head.

Links to online textbooks

References:


Google
 
Web Gentili.net

©Gentili.net 1998-2006