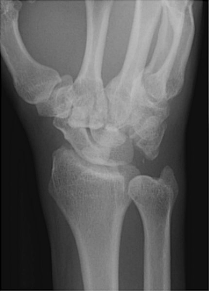
Return to Lunate Dislocation