Lunate Dislocation

Return to Main Menu

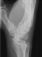
The lunate dislocation results from a backwards fall on an outstretched hand. Here, the capitate is aligned with the radius on the lateral view with volar displacement of the lunate. This is the most severe injury on the perilunate continuum with the greatest number of intercarpal ligaments disrupted.
 - Click on the image for a larger versionALateral radiograph of the wrist. This shows volar displacement of the lunate.
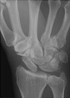
 - Click on the image for a larger versionBPA radiograph of the wrist. This depicts the abnormal relationship between the scaphoid and the lunate.
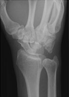
 - Click on the image for a larger versionCOblique radiograph of the wrist. This shows the abnormal carpal bone relationships.

Links to online textbooks

References:


Google
 
Web Gentili.net

©Gentili.net 1998-2006