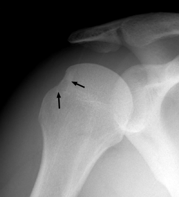
Return to Hill-Sachs Fracture