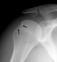
The Hill-Sachs fracture results from anterior dislocation of the humeral head and is located on the posterolateral aspect of the humeral head. 97 % of shoulder dislocations are anterior in direction. This fracture is produced when the humeral head strikes the inferior margin of the glenoid. The dislocation may also cause a Bankart fracture at the impact site on the glenoid. Anterior dislocations are produced by complex forces acting on the humerus, including abduction and external rotation.
A | AP radiograph of the shoulder. The arrows indicate the defect on the posterolateral aspect, corresponding to a Hill-Sachs fracture. |
Links to online textbooks
References:
- Workman TL, Burkhard TK, Resnick D, Goff WB 2d, Balsara ZN, Davis DJ, Lapoint JM: Hill-Sachs lesion: comparison of detection with MR imaging, radiography, and arthroscopy
Radiology. 1992 Dec;185(3):847-52.
[See related articles]
- Beltran J, Rosenberg ZS, Chandnani VP, Cuomo F, Beltran S, Rokito A: Glenohumeral instability: evaluation with MR arthrography.
Radiographics. 1997 May-Jun;17(3):657-73.
[See related articles]