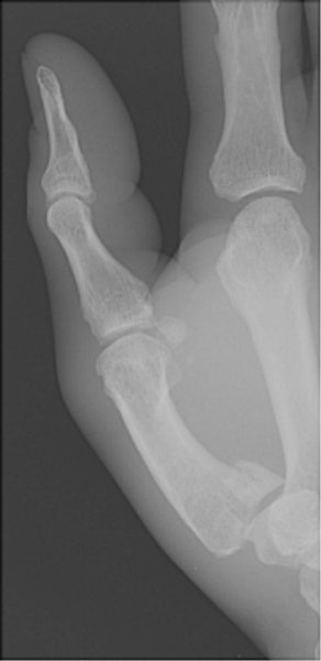
Return to Bennett Fracture