Bennett Fracture

Return to Main Menu

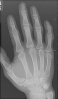
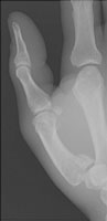
The Bennett fracture is an intraarticular fracture of the base of the first metacarpal. The fracture must involve the first carpometacarpal joint to be called a Bennett fracture. The action of the abductor pollicis longus causes distraction of the fracture fragments. The volar base of the first metacarpal stays with the trapezium.
 - Click on the image for a larger versionAOblique radiograph of the hand. There is an intraarticular fracture at the base of the first metacarpal.
 - Click on the image for a larger versionBPA radiograph of the first digit. This view better defines the Bennett fracture.

Links to online textbooks

References:


Google
 
Web Gentili.net

©Gentili.net 1998-2006