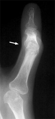
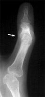
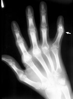
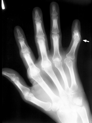
Boutonniere Deformity
Home Up Location Diagnosis
Back Next

 

Atlas of Signs in Musculoskeletal Radiology is approved by the ARRS (American Roentgen Ray Society) and is included in AJR Webreview
A. Gentili,MD, M. Beller, MD, S. Masih, MD, L.L. Seeger, MD

Diagnosis:

Rheumatoid arthritis

Discussion:

Among the many osseous abnormalities that may be seen in Rheumatoid Arthritis, the boutonniere deformity is the culmination of multiple abnormalities in the hand. Specifically, the deformity arises from hyperextension of the distal interphalangeal joint, while the proximal interphalangeal joint is flexed.


 - Click on the image for a larger versionA - Click on the image for a larger versionB

References:

bulletRizio L, Belsky MR: Finger deformities in rheumatoid arthritis. Hand Clin 1996 Aug;12(3):531-40.          [See related articles]
bulletMassengill JB: The boutonniere deformity. Hand Clin 1992 Nov;8(4):787-801.          [See related articles]

 

 

Google
 
Web Gentili.net


Atlas of Signs in Musculoskeletal Radiology is approved by the ARRS (American Roentgen Ray Society) and is included in AJR Webreview
A. Gentili,MD, M. Beller, MD, S. Masih, MD, L.L. Seeger, MD