|
Atlas of Signs in Musculoskeletal Radiology is approved by the ARRS (American Roentgen Ray Society) and is included in AJR WebreviewA. Gentili,MD, M. Beller, MD, S. Masih, MD, L.L. Seeger, MD
|
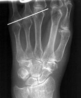
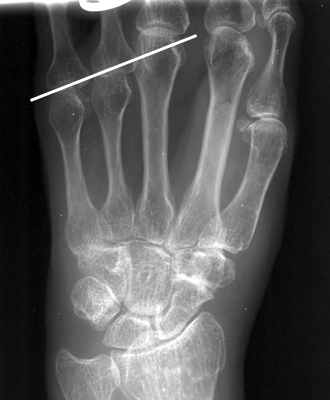
Diagnosis:Short 4th Metacarpal Discussion:Radiograph of the hand which reveals an abnormally short 4th metacarpal, as compared to the other metacarpal bones. Although this sign usually is associated with Turner's syndrome, the short 4th "metacarpal sign" carries a short differential diagnosis and is therefore not pathognomonic. References:
|
|
Atlas of Signs in Musculoskeletal Radiology is approved by the ARRS (American Roentgen Ray Society) and is included in AJR WebreviewA. Gentili,MD, M. Beller, MD, S. Masih, MD, L.L. Seeger, MD
|