|
Atlas of Signs in Musculoskeletal Radiology is approved by the ARRS (American Roentgen Ray Society) and is included in AJR WebreviewA. Gentili,MD, M. Beller, MD, S. Masih, MD, L.L. Seeger, MD
|
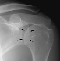
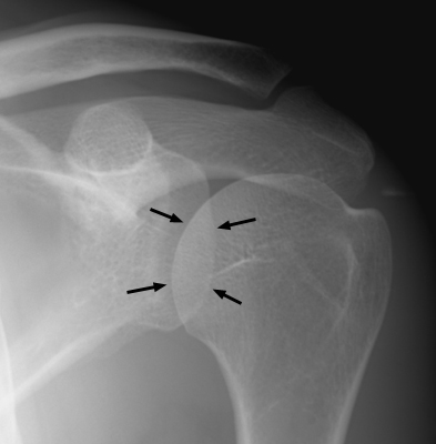
Diagnosis:Absent in posterior dislocation of the shoulder Discussion:Normal left shoulder x-ray (A) and second abnormal left shoulder x-ray (B) with posterior dislocation; notice the lack of overlap of the humeral head with the glenoid. Normally the medial part of the head of the humerus overlaps the glenoid fossa to form a shadow shaped like a half-moon which reaches down to the inferior border of the fossa. This disappears in posterior dislocation. References:
|
|
Atlas of Signs in Musculoskeletal Radiology is approved by the ARRS (American Roentgen Ray Society) and is included in AJR WebreviewA. Gentili,MD, M. Beller, MD, S. Masih, MD, L.L. Seeger, MD
|