Drooping Shoulder Sign
Home Up Location Diagnosis
Back Next

 

Atlas of Signs in Musculoskeletal Radiology is approved by the ARRS (American Roentgen Ray Society) and is included in AJR Webreview
A. Gentili,MD, M. Beller, MD, S. Masih, MD, L.L. Seeger, MD

Diagnosis:

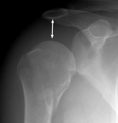
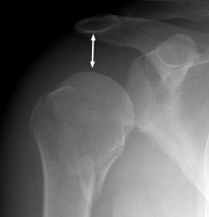
Inferior subluxation of the shoulder

Discussion:

Two views of the right shoulder in this post-traumatic patient with a fracture of the proximal humerus. Note the downward displacement of the humerus and it's relation to the acromio-clavicular joint and the glenoid. The drooping shoulder occurs following fracture of the surgical neck and may be secondary to hemarthrosis or musculoligamentous injury. Other non-traumatic causes such as stroke and brachial plexus compromise from a tumor have been described as well.


AP shoulder - Click on the image for a larger versionAAxillary view - Click on the image for a larger versionB

References:

bulletLev-Toaff AS, Karasick D, Rao VM: "Drooping shoulder"--nontraumatic causes of glenohumeral subluxation. Skeletal Radiol 1984;12(1):34-6.          [See related articles]
bulletLaskin RS, Schreiber S: Inferior subluxation of the humeral head: the drooping shoulder Radiology 1971, 98:585-586..          [See related articles]

 

 

Google
 
Web Gentili.net


Atlas of Signs in Musculoskeletal Radiology is approved by the ARRS (American Roentgen Ray Society) and is included in AJR Webreview
A. Gentili,MD, M. Beller, MD, S. Masih, MD, L.L. Seeger, MD