Anteater Nose
Home Up Location Diagnosis
Back Next

 

Atlas of Signs in Musculoskeletal Radiology is approved by the ARRS (American Roentgen Ray Society) and is included in AJR Webreview
A. Gentili,MD, M. Beller, MD, S. Masih, MD, L.L. Seeger, MD

Diagnosis:

Calcaneonavicular coalition

Discussion:

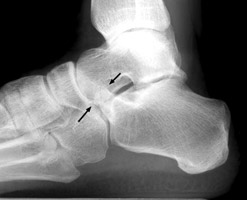
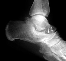
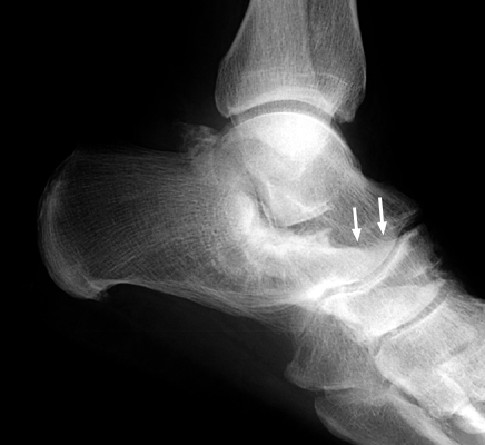
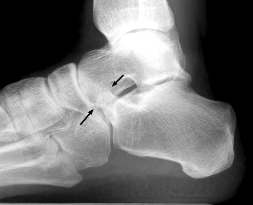
Plain film and CT images of calcaneonavicular coalition. Notice the elongated, tubular like extension of the anterior calcaneus seen on the lateral film; this imagery has been likened to the elongated nose of an anteater. There is abnormal bony fusion of the calcaneus and navicular bones, with the presence of a bony bar extending between these two bones.


 - Click on the image for a larger versionALateral foot - Click on the image for a larger versionBCT - Click on the image for a larger versionC

References:

bulletOestreich AE, Mize WA, Crawford AH, Morgan RC Jr.: The "anteater nose": a direct sign of calcaneonavicular coalition on the lateral radiograph. J Pediatr Orthop 1987 Nov-Dec;7(6):709-1.          [See related articles]

 

 

Google
 
Web Gentili.net


Atlas of Signs in Musculoskeletal Radiology is approved by the ARRS (American Roentgen Ray Society) and is included in AJR Webreview
A. Gentili,MD, M. Beller, MD, S. Masih, MD, L.L. Seeger, MD