C Sign
Home Up Location Diagnosis
Back Next

 

Atlas of Signs in Musculoskeletal Radiology is approved by the ARRS (American Roentgen Ray Society) and is included in AJR Webreview
A. Gentili,MD, M. Beller, MD, S. Masih, MD, L.L. Seeger, MD

Diagnosis:

Subtalar coalition

Discussion:

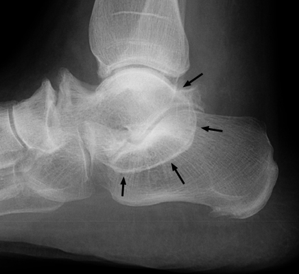
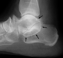
Lateral radiograph of the foot revealing a classic C sign which is a C-shaped line formed by the medial outline of the talar dome and the inferior outline of the sustentaculum tali. This is a sign of subtalar coalition. It is a reliable indicator of subtalar coalition on the lateral radiograph and represents the bony bridge between the talar dome and the sustentaculum tali.


Lateral foot - Click on the image for a larger versionACoronal CT - Click on the image for a larger versionB

References:

bulletLateur LM, Van Hoe LR, Van Ghillewe KV, Gryspeerdt SS, Baert AL, Dereymaeker GE: Subtalar coalition: diagnosis with the C sign on lateral radiographs of the ankle. Radiology 1994 Dec;193(3):847-51.          [See related articles]

 

Google
 
Web Gentili.net


Atlas of Signs in Musculoskeletal Radiology is approved by the ARRS (American Roentgen Ray Society) and is included in AJR Webreview
A. Gentili,MD, M. Beller, MD, S. Masih, MD, L.L. Seeger, MD