|
Atlas of Signs in Musculoskeletal Radiology is approved by the ARRS (American Roentgen Ray Society) and is included in AJR WebreviewA. Gentili,MD, M. Beller, MD, S. Masih, MD, L.L. Seeger, MD
|
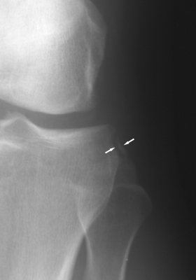
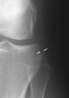
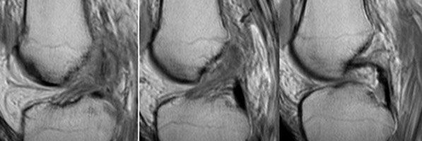
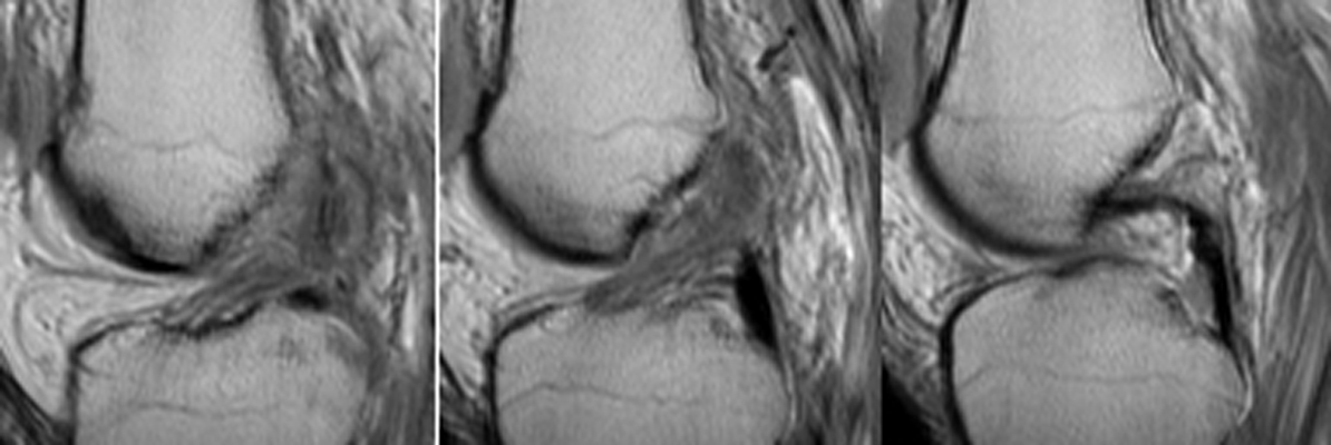
Diagnosis:ACL Tear - Segund fracture Discussion:Frontal radiographs of the knee which reveal a small fleck of bone adjacent to the lateral aspect of the lateral tibial plateau. This "lateral capsular sign" is a simple radiographic finding visible on the routine AP knee x-ray, which indicates severe lateral capsular injury and should alert the examiner to the possibility of ACL tear. The fleck of bone represents an avulsion of the meniscotibial portion of the middle one-third of the lateral capsular ligament. It most commonly implies a disruption of the capsular ligament and the ACL. A-B Radiographs. C. MRI confirms the diagnosis of ACL tear. References:
|
|
Atlas of Signs in Musculoskeletal Radiology is approved by the ARRS (American Roentgen Ray Society) and is included in AJR WebreviewA. Gentili,MD, M. Beller, MD, S. Masih, MD, L.L. Seeger, MD
|