Teardrop Sign (ankle)
Home Up Location Diagnosis
Back Next

 

Atlas of Signs in Musculoskeletal Radiology is approved by the ARRS (American Roentgen Ray Society) and is included in AJR Webreview
A. Gentili,MD, M. Beller, MD, S. Masih, MD, L.L. Seeger, MD

Diagnosis:

Ankle effusion

Discussion:

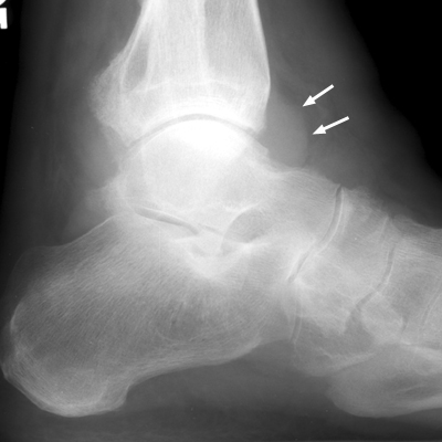
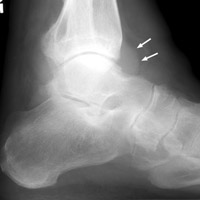
One normal ankle radiograph (A), and one abnormal ankle radiograph (B) revealing a moderate effusion. The teardrop shaped density seen extending anteriorly from the ankle joint along the neck of the talus has been referred to as the "teardrop sign" of ankle effusion. This is a useful sign in the diagnosis of ankle joint effusion, and may alert the diagnostician to possible underlying pathology.


Lateral normal ankle - Click on the image for a larger versionALateral ankle - Click on the image for a larger versionB

References:

bulletTowbin R, Dunbar JS, Towbin J et al.: Teardrop sign: Plain film recognition of ankle effusion. AJR Am J Roentgenol 1980, 134:985-990.          [See related articles]

 

 

Google
 
Web Gentili.net


Atlas of Signs in Musculoskeletal Radiology is approved by the ARRS (American Roentgen Ray Society) and is included in AJR Webreview
A. Gentili,MD, M. Beller, MD, S. Masih, MD, L.L. Seeger, MD