|
Atlas of Signs in Musculoskeletal Radiology is approved by the ARRS (American Roentgen Ray Society) and is included in AJR WebreviewA. Gentili,MD, M. Beller, MD, S. Masih, MD, L.L. Seeger, MD
|
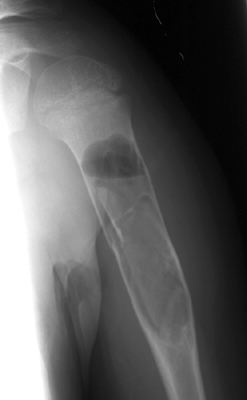
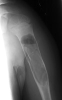
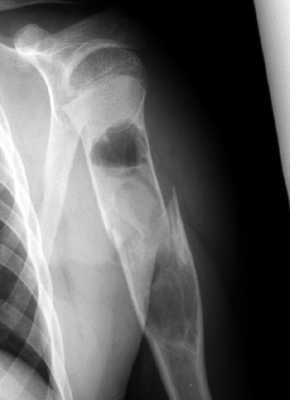
Diagnosis:Unicameral bone cyst Discussion:Two radiographs of a pathologic fracture in a simple bone cyst of the proximal humerus. Within the cyst is noted a small, thin, linear bony fragment which is displaced from the site of the fracture. An excellent sign of unicameral bone cyst. The fallen fragment secondary to pathologic fracture is pathognomonic for this cyst. A portion of the wall of the cyst has undergone a pathological fracture and subsequently floated down (fallen) via gravity into the dependent portion of the cyst. References:
|
|
Atlas of Signs in Musculoskeletal Radiology is approved by the ARRS (American Roentgen Ray Society) and is included in AJR WebreviewA. Gentili,MD, M. Beller, MD, S. Masih, MD, L.L. Seeger, MD
|